gum-surgery-cover

Gum Surgery in Marthandam, Nagercoil

Why gum surgery?

Gum surgeries are required to correct or improve the problems with your gums that is affecting your periodontal health.

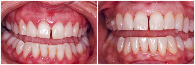
[caption id="attachment_709" align="alignnone" width="620"]before-after-gum-surgery Before and after gum surgery[/caption]

Types of Gum surgery procedures

Depending on the severity of the disease, your dentist chooses the procedure.
  • Deep Scaling: This procedure helps to remove the plaque and bacteria from the gums and teeth.
  • Root planning: This procedure further removes tartar and germs from some tricky places that favour plague build up

Flap surgery:

When tartar deposits developed as deep pockets, flap surgery is necessary. This procedure helps to lift up the gums off the teeth that can remove tartar deposition.

Bone grafting:

A bone graft is needed when the bone surrounds the tooth root is damaged or destroyed. Self donated bone or harvested bone or artificial bone are used for this procedure. The aim of this procedure is to hold the tooth in place for regrowth. Guided tissue regeneration, Tissue grafting, Laser therapy, Tissue-stimulating proteins are some other types of procedures for Gum care.

No Comments yet!

Your Email address will not be published.