denturs-crowns-bridges

Dentures, Crowns & Bridges -Prosthodontics

What is Prosthodontics

Prosthodontics is the dental specialty primarily concerned with the restoration and replacement of lost or damaged teeth and related soft and hard tissues by prostheses (crowns, bridges, dentures). It may be fixed or removable or supported and retained by implants. The sub specialties of prosthodontics are

Fixed Prosthodontics:

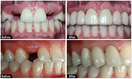
Fixed Prosthodontics is about the restoration of teeth. Crowns, bridges, onlays, inlays and veneers are used for this as prosthetics. [caption id="attachment_809" align="alignleft" width="217"] Crown & Bridge[/caption]

Crown

This is commonly known as ‘cap’ and covers part of or the complete tooth. The materials to make crowns vary according to the requirement such as function/aesthetics, patient choice and the condition of the tooth.

Bridge

A dental restoration used to replace a ‘gap’ due to missing tooth/teeth is named as the bridge. The adjacent tooth/teeth are prepared to hold the bridge in position.

Removable Prosthodontics:

Removable prosthodontics deals with prosthesis that replaces the soft tissues and teeth and is more generally named dentures. These can replace all teeth (Complete Dentures) or some of the teeth (Partial Dentures). These are all made of Acrylic or a mix of metal and plastic.

Maxillofacial Prosthodontics:

Maxillofacial Prosthodontics is about the rehabilitation of patients with congenital or acquired defects in the mouth or face. Congenital defects generally point to cleft lip and palate. Acquired defects normally are due to mouth cancer or the face and due to neurological deformities such as stroke.

Dental Implants:

A dental implant is an artificial tooth fixture usually made of titanium or titanium alloys. Dental Implant functions as a stable and rigid structure for retention or support of a bridge, denture or a maxillofacial prosthesis. Dental Implants have a high success rate and widely accepted for its use.
 

No Comments yet!

Your Email address will not be published.